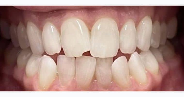
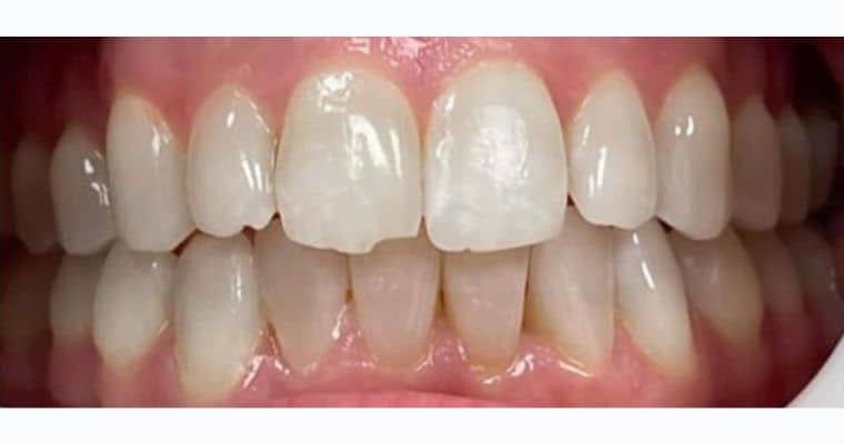
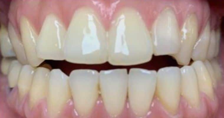
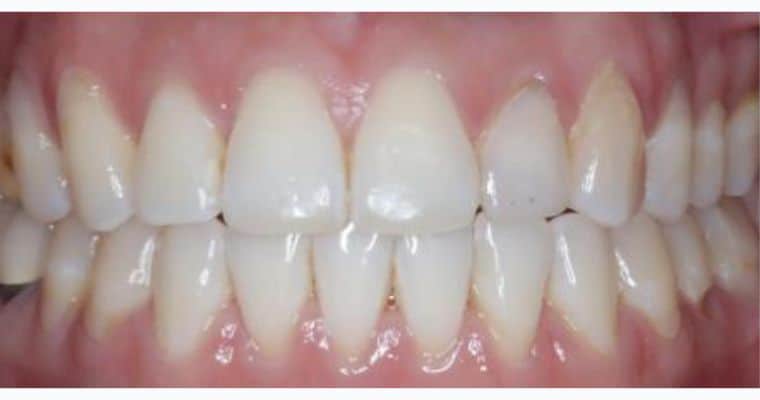
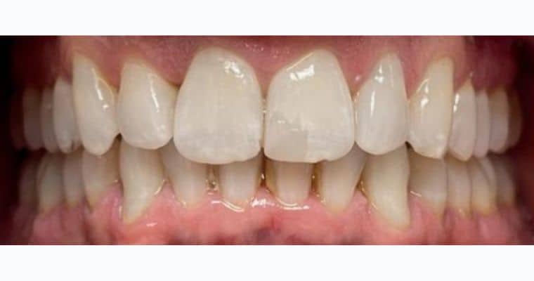
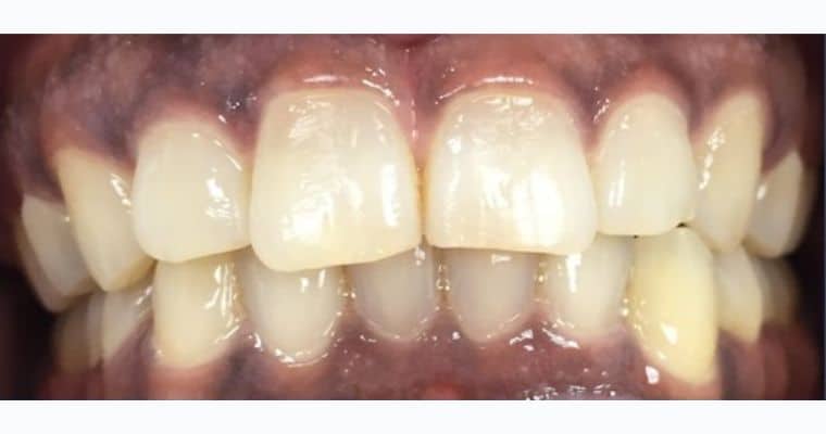
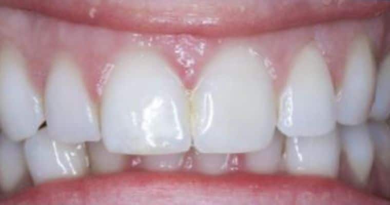
Invisalign® | NYC
Clear aligners from Invisalign use advanced technology to gently guide your teeth into their ideal positions. The best part? Nearly invisible, removable trays let you continue enjoying the activities you love and the foods you can’t live without. Designed to fit your life, not interrupt it.
























