Skip To Content

Dental Implants | NYC

Strong roots for long-term restoration

Dental implants are small titanium anchors placed beneath the gums to replace missing tooth roots. Once they bond with the bone, they create a secure base for custom restorations such as crowns or bridges. Implants are durable, comfortable, and designed to look and feel natural for years to come.

The Implant Process

  1. Private 1-on-1 consultation: Our board-certified periodontist, Dr. Lydia Gardner will take special 3-D x-rays and meet with you to determine the right solution to help you meet your goals.
  2. Extraction: Dr. Gardner remove any remaining tooth, if needed.
  3. Bone Grafting (if necessary): If there isn’t enough bone to support an implant, Dr. Gardner may place a small bone graft. This quick procedure helps create a strong, stable foundation for the implant.
  4. Implant Placement: Once the area has healed, the titanium implant is placed into the jawbone. In certain cases, the implant can be placed the same day as the extraction; however, most patients will need a healing period of up to three months before placement.
  5. Healing and Integration: The implant is covered and left to naturally fuse with the bone in a process called osseointegration. This step usually takes three to six months and ensures long-term stability.
  6. Restorative Phase: After the implant has fully integrated, it’s uncovered and prepared for the final restoration- such as a crown, bridge, or denture – custom-made to blend seamlessly with your natural teeth.
Watch Video

For a descriptive transcript please view video on YouTube and see the description.

Meet Dr. Lydia Gardner

Dr. Lydia Gardner graduated with an AB in Psychology and a language citation in French from Harvard University. She then went on to graduate Summa Cum Laude from Tufts University School of Dental Medicine. She was inducted into the prestigious OKU national dental honor society which has moral as well as academic selection criteria. Dr. Gardner then completed her 3-year specialty residency in Periodontics at the University of Pennsylvania School of Dental Medicine. She simultaneously earned a Master of Science degree in Oral Biology for independent research examining the relationship between obesity and periodontal disease. She presented the preliminary results of her Master’s research in Brazil at the annual meeting of the International Association for Dental Research. Dr. Gardner also traveled to South Africa and Morocco during her residency to participate in humanitarian missions providing care to communities without access.

Dr. Gardner is a Diplomat of the American Board of Periodontology. Board certification denotes someone who has made significant achievements beyond the mandatory educational requirements of the specialty, including demonstrating a comprehensive mastery of all phases of periodontal disease and treatment, and in the placement of dental implants. She is also a member of the American Academy of Periodontology, the Northeastern Society of Periodontists, and the International Team for Implantology.

In her spare time, Dr. Gardner enjoys travel, skiing, exercise, reading, and spending time with her husband and their children.

Dental Implant FAQS

  • The best candidates are people in good overall and oral health with sufficient jawbone to support the implant and healthy gum tissue free of active periodontal disease. Certain chronic conditions like diabetes or immune disorders can affect healing, and tobacco use can increase the risk of complications. If bone loss has already occurred, a bone graft may be needed before placement — but that doesn’t necessarily rule out an implant. The best way to find out is a consultation with our board-certified periodontist, Dr. Lydia Gardner, who will take 3D X-rays and review your specific situation.

  • With good home care and regular checkups, the implant itself is designed for long-term stability, often measured in decades. The crown attached to the implant may eventually need to be replaced due to normal wear, but the titanium implant placed in the jawbone is built to last. People who maintain good oral hygiene and see their dentist routinely tend to have the best long-term outcomes.

  • Implants are designed to function more like natural teeth and don’t rely on surrounding teeth for support the way bridges do. When a tooth root is missing, the bone that once surrounded it begins to deteriorate because it’s no longer being stimulated. Over time, that bone loss can cause neighboring teeth to shift, affecting both the look of your smile and the mechanics of your bite. Dental implants actually integrate with the jawbone, helping to keep it healthy and intact. Bridges can still be the right choice in certain situations, and we’ll walk through both options with you so you can make an informed decision.

  • Implants at CPW Dentistry are placed by Dr. Lydia Gardner, a board-certified periodontist. Board certification in periodontics means she has demonstrated comprehensive mastery of periodontal disease, bone and soft tissue management, and implant placement well beyond standard dental licensing requirements. The tooth-colored crowns that sit on top of the implant are completed by our general dentists.

  • The implant process typically involves several stages over a few months. It begins with a private consultation and 3D X-rays to plan your treatment. If needed, any remaining tooth is extracted and, if there isn’t enough bone to support an implant, a bone graft is placed. In some cases, the implant can be placed the same day as the extraction, though most patients will need a healing period first. Once healed, the titanium implant is surgically placed in the jawbone and allowed to fuse with the bone over three to six months. After full integration, the implant is uncovered and fitted with a custom crown, bridge, or denture designed to blend naturally with your teeth.

  • A cone beam CT (CBCT) scan gives us a three-dimensional view of your jawbone, sinuses, nerves, and surrounding anatomy, something a standard 2D X-ray simply can’t provide. For implant planning, this level of detail matters enormously. It lets Dr. Gardner evaluate exactly how much bone is available, identify the precise location of nerves and blood vessels, and determine the ideal angle and depth for implant placement before anyone picks up a surgical instrument. This kind of precision planning reduces risk, improves outcomes, and means there are far fewer surprises during the procedure. We have our own CBCT scanner right here in our Upper West Side office, so there’s no need to visit a separate imaging center. Your scan is taken and reviewed at your consultation in one convenient appointment.

  • Usually, yes. Even if it’s been a long time since you lost the tooth, implants are often still possible. Bone loss is common in that area over time, so a bone graft may be needed to rebuild a stable foundation, but that’s a routine part of the process. A consultation and 3D scan will tell us exactly what your situation requires.

  • It depends on how many teeth you’re replacing. A single missing tooth is typically restored with one implant and a crown. Multiple missing teeth can be replaced with an implant-supported bridge. If you’re missing all of your teeth, an implant-supported full bridge or full denture is an option. In every case, the restoration is custom-made to match the shape, color, and feel of your natural teeth.

  • A thoughtfully made crown should blend in well. We pay close attention to shape, texture, and color so it feels like it fits naturally in your smile. Most people find that others can’t tell the difference.

  • An implant placement appointment is usually less than two hours long. You should try to avoid strenuous work and exercise, but many people are able to return to work the next day. For the first 24 hours, it’s a good idea to stick to soft foods and liquids, avoiding anything extremely hot, cold, spicy, or rough. We’ll go over all of the aftercare with you so you know the best way to take care of your new implant.

  • It depends on what you’re hoping to improve. Some people want more stability, fewer removable pieces, or something that feels closer to a natural tooth. If that’s the case, implants can be a meaningful upgrade. We’ll always help you weigh the benefits and the cost before deciding.

  • The cost varies because every case is different and a complete implant involves multiple components: the implant itself, the abutment (the connector piece), and the crown. An extraction and/or bone graft may also be part of the treatment plan, adding to the total. When comparing quotes, watch out for estimates that only include the implant and leave out the abutment or crown. That can be misleading. At CPW Dentistry, a full simple-tooth implant with abutment and crown typically ranges from about $6,400 to $7,500. We offer pay-over-time financing through Sunbit and LendingClub to help make treatment more manageable, and a consultation will give you a personalized cost breakdown.

  • Sometimes, partially. Many insurance plans classify implants as elective and don’t cover the full procedure, but we occasionally see partial coverage for certain steps — such as the extraction, bone graft, or crown. Coverage varies significantly by plan. Our team is transparent about estimates and will help you understand what your insurance may or may not contribute before any treatment begins.

Dental Implants Before & After

Loading Sliders

Before. Close-up of upper front teeth showing a missing tooth with an open space and visible gum tissue where a front tooth has been lost. The surrounding teeth appear restored, but the gap disrupts the overall appearance.
After. Same smile following implant treatment. The missing tooth has been replaced with a natural-looking dental implant that blends in seamlessly with the adjacent restorations. The upper arch now appears complete, even, and fully restored.
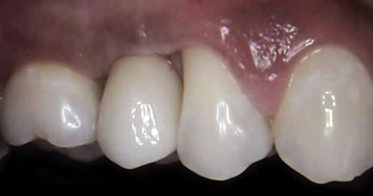
Before. Close-up of upper teeth showing a missing tooth in the middle of the arch. The gums have healed, leaving a visible gap between two natural teeth.
After. Same view after treatment. The missing tooth has been replaced with a restoration that blends in naturally with the surrounding teeth in shape, size, and color. The arch now appears complete and even.
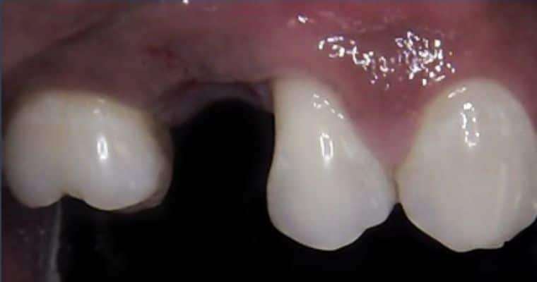
Before. Close-up of upper side teeth showing a visible gap where a tooth is missing. The gum tissue has healed, and the space is bordered by two natural teeth.
After. Same view after treatment. A natural-looking dental implant has been added to fill the gap, matching the color and shape of the surrounding teeth. The area now looks complete and healthy.
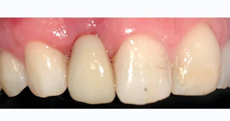
Before. Close-up of upper front teeth showing a missing tooth, with a visible metal implant post in the gums. The gap is noticeable and disrupts the line of the smile.
After. Same view after the implant crown has been placed. The missing tooth has been restored with a natural-looking crown that matches the shape and color of the neighboring teeth. The smile appears complete and the implant is no longer visible.
Before. Side view of the lower arch showing a missing molar near the back of the mouth. The gap is clearly visible, with gum tissue exposed where the tooth used to be.
After. Same view after restoration. The missing molar has been replaced with a natural-looking tooth that fits seamlessly into the arch, restoring function and completing the smile.