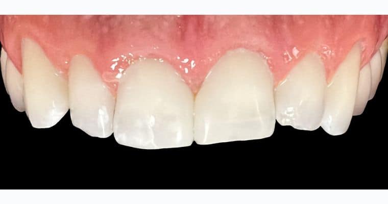
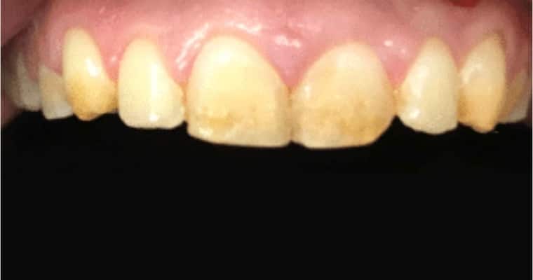
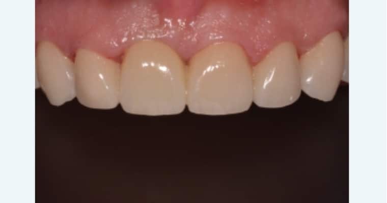
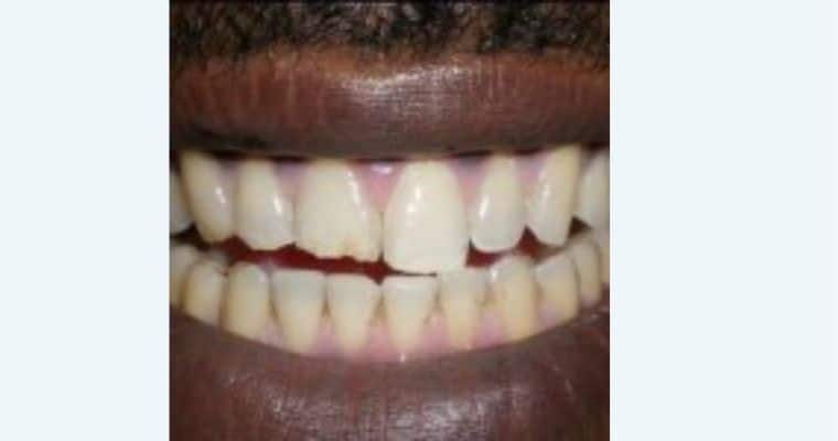
Cosmetic Dentistry | NYC
Our dentists are perfectionists.
We offer a full range of cosmetic dental treatments to help you feel confident in your smile. Our team will work with you to make sure you are entirely satisfied with your results. Your cosmetic goals are as important to our dentists as they are to you. Whether you’re looking for straighter teeth, whiter teeth, smaller teeth, bigger teeth, brand new teeth, or subtle enhancements, our dentists are skilled and fully equipped to make your vision a reality.













